Cạo vôi răng ở Biên Hòa là dịch vụ nha khoa được nhiều người quan tâm bởi nhu cầu chăm sóc và bảo vệ sức khỏe răng miệng ngày càng tăng cao. Cao răng tích tụ lâu ngày không chỉ gây mất thẩm mỹ mà còn là nguyên nhân dẫn đến viêm nướu, hôi miệng và nhiều bệnh lý răng miệng nguy hiểm nếu không được xử lý kịp thời.
Hiện nay, trên địa bàn TP. Biên Hòa có rất nhiều phòng khám nha khoa cung cấp dịch vụ lấy cao răng, tuy nhiên chất lượng và mức độ an toàn giữa các cơ sở là không đồng đều. Việc lựa chọn đúng địa chỉ cạo vôi răng ở Biên Hòa uy tín, có bác sĩ tay nghề cao và trang thiết bị hiện đại sẽ giúp quá trình điều trị diễn ra nhẹ nhàng, hiệu quả và hạn chế tối đa các rủi ro không mong muốn.
Nha Khoa Chi Nguyên là một trong những địa chỉ cạo vôi răng ở Biên Hòa được nhiều khách hàng tin tưởng lựa chọn trong suốt thời gian qua. Phòng khám sở hữu đội ngũ bác sĩ có chuyên môn cao, được đào tạo bài bản và có nhiều năm kinh nghiệm trong lĩnh vực nha khoa tổng quát. Nhờ đó, quá trình lấy cao răng tại đây luôn diễn ra nhẹ nhàng, chính xác và hạn chế tối đa cảm giác khó chịu cho khách hàng.

Dịch vụ cạo vôi răng tại Nha Khoa Chi Nguyên được thực hiện bằng công nghệ sóng siêu âm hiện đại. Đầu cạo siêu nhỏ có khả năng len lỏi sâu vào các kẽ răng và vùng dưới nướu, giúp loại bỏ mảng bám và cao răng một cách triệt để mà không làm tổn thương mô mềm. Ưu điểm nổi bật của phương pháp này là không cần tách nướu, không gây chảy máu và hạn chế ê buốt rõ rệt sau khi thực hiện.
Bên cạnh yếu tố chuyên môn, Nha Khoa Chi Nguyên còn chú trọng đầu tư cơ sở vật chất khang trang, không gian phòng khám sạch sẽ, thoáng mát. Trang thiết bị nha khoa được nhập khẩu từ nước ngoài và tuân thủ nghiêm ngặt quy trình vô trùng, giúp khách hàng hoàn toàn yên tâm khi lựa chọn cạo vôi răng ở Biên Hòa tại đây.
Thông tin liên hệ:
Nhắc đến địa chỉ cạo vôi răng ở Biên Hòa uy tín, an toàn, Nha Khoa Sài Gòn B.H luôn là cái tên được nhiều khách hàng đánh giá cao. Phòng khám nổi bật với phương châm điều trị “an toàn – không đau – không ê buốt”, phù hợp với cả những khách hàng nhạy cảm hoặc lần đầu đi lấy cao răng.
Quy trình lấy cao răng tại Nha Khoa Sài Gòn B.H được thực hiện nhanh chóng, chỉ mất khoảng 20 – 30 phút cho mỗi lần điều trị. Phòng khám sử dụng máy siêu âm thế hệ mới với đầu cạo siêu nhỏ, tạo ra các rung động tần số cao giúp làm bong mảng cao răng bám chặt trên bề mặt răng và dưới nướu. Sau khi cạo vôi, bác sĩ còn tiến hành đánh bóng răng, giúp bề mặt răng nhẵn mịn hơn và hạn chế tình trạng tái bám cao răng.

Một điểm cộng lớn khác của Nha Khoa Sài Gòn B.H là chi phí dịch vụ được niêm yết rõ ràng, minh bạch. Khách hàng sẽ được tư vấn kỹ lưỡng trước khi thực hiện, không phát sinh chi phí ngoài dự kiến. Cùng với đội ngũ bác sĩ giàu kinh nghiệm và quy trình vô trùng khép kín, đây là địa chỉ đáng tin cậy để cạo vôi răng ở Biên Hòa.
Thông tin liên hệ:
Nha Khoa Đồng Khởi là địa chỉ cạo vôi răng ở Biên Hòa được nhiều khách hàng khu vực Tam Hiệp và các phường lân cận tin tưởng lựa chọn. Phòng khám hoạt động với định hướng mang đến các dịch vụ nha khoa an toàn, hiệu quả, tập trung vào chăm sóc và phòng ngừa các bệnh lý răng miệng thường gặp, trong đó có lấy cao răng định kỳ.

Dịch vụ cạo vôi răng tại Nha Khoa Đồng Khởi được thực hiện theo quy trình chuẩn y khoa, đảm bảo loại bỏ hiệu quả mảng bám và cao răng trên bề mặt răng cũng như vùng dưới nướu. Nhờ áp dụng công nghệ hiện đại kết hợp tay nghề bác sĩ vững vàng, quá trình lấy cao răng diễn ra nhẹ nhàng, hạn chế cảm giác ê buốt và không gây tổn thương nướu. Sau khi hoàn tất, răng trở nên sạch hơn, sáng màu hơn và tình trạng hôi miệng cũng được cải thiện rõ rệt.
Bên cạnh chất lượng chuyên môn, Nha Khoa Đồng Khởi còn được đánh giá cao nhờ không gian phòng khám sạch sẽ, thoáng mát và trang thiết bị được đầu tư đồng bộ. Đội ngũ nhân viên luôn hỗ trợ tận tình, sẵn sàng tư vấn và hướng dẫn chăm sóc răng miệng sau khi cạo vôi răng ở Biên Hòa, giúp khách hàng duy trì sức khỏe răng miệng ổn định lâu dài.
Thông tin liên hệ:
Nha Khoa Đức Nhân là một trong những địa chỉ cạo vôi răng ở Biên Hòa được nhiều khách hàng đánh giá cao nhờ sự chỉn chu trong quy trình điều trị và thái độ phục vụ chuyên nghiệp. Phòng khám đáp ứng đầy đủ các tiêu chí cần có của một nha khoa uy tín, từ đội ngũ bác sĩ, cơ sở vật chất cho đến quy trình vô trùng an toàn.
Tại Nha Khoa Đức Nhân, khách hàng sẽ được trực tiếp thăm khám và lấy cao răng bởi bác sĩ chuyên khoa giàu kinh nghiệm. Phòng khám ứng dụng công nghệ cạo vôi răng bằng sóng siêu âm hiện đại với đầu cạo thiết kế chuyên biệt, giúp làm sạch mảng bám và cao răng cả ở thân răng lẫn khu vực dưới nướu. Phương pháp này mang lại hiệu quả làm sạch cao, đồng thời hạn chế tối đa cảm giác đau nhức hay ê buốt trong và sau quá trình thực hiện.

Ngoài yếu tố kỹ thuật, Nha Khoa Đức Nhân còn chú trọng đến trải nghiệm của khách hàng. Dụng cụ nha khoa luôn được khử trùng kỹ lưỡng, môi trường phòng khám đảm bảo sạch sẽ và an toàn. Chi phí cạo vôi răng được đánh giá là hợp lý, phù hợp với nhiều đối tượng khách hàng đang có nhu cầu cạo vôi răng ở Biên Hòa nhưng vẫn muốn đảm bảo chất lượng dịch vụ.
Thông tin liên hệ:
Hệ Thống Nha Khoa Khắc Ghi – Biên Hòa là địa chỉ nha khoa uy tín với đội ngũ bác sĩ có trên 15 năm kinh nghiệm, từng công tác và đào tạo chuyên môn tại TP.HCM. Phòng khám không ngừng cập nhật kỹ thuật mới và đầu tư trang thiết bị hiện đại nhằm mang đến các dịch vụ chăm sóc răng miệng an toàn, hiệu quả và phù hợp với nhiều đối tượng khách hàng.
Dịch vụ cạo vôi răng bằng sóng siêu âm tại Nha Khoa Khắc Ghi giúp làm sạch cao răng nhanh chóng, nhẹ nhàng và hạn chế tối đa cảm giác khó chịu. Cao răng là nguyên nhân phổ biến dẫn đến nhiều vấn đề răng miệng như sâu răng, viêm nướu, hôi miệng, nha chu và tụt nướu nếu không được xử lý kịp thời. Vì vậy, việc lấy cao răng định kỳ 6 tháng/lần được các bác sĩ khuyến nghị để duy trì sức khỏe răng miệng lâu dài.

Công nghệ cạo vôi răng siêu âm tại Nha Khoa Khắc Ghi sở hữu nhiều ưu điểm như đầu máy nhỏ gọn giúp làm sạch cả những vùng khó tiếp cận, thao tác êm nhẹ, ít xâm lấn và hỗ trợ bảo vệ mô nướu. Sau khi cạo vôi, răng còn được đánh bóng giúp bề mặt trở nên nhẵn mịn, sáng sạch hơn và hạn chế tình trạng mảng bám tái bám, mang lại cảm giác thoải mái và tự tin trong sinh hoạt hằng ngày.
Thông tin liên hệ:
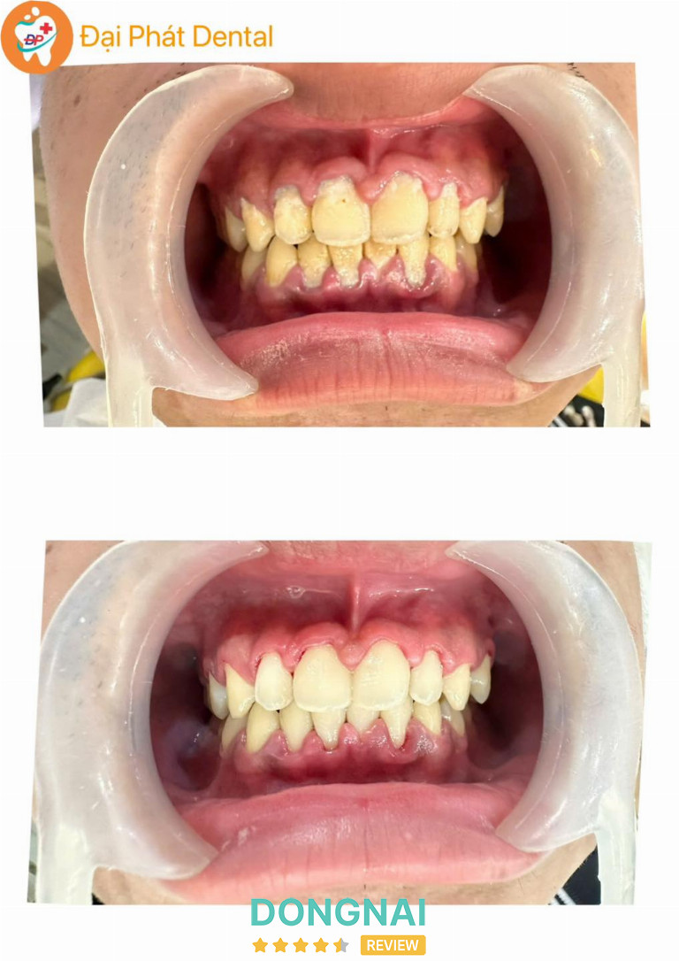
Nha Khoa Đại Phát là một trong những địa chỉ cạo vôi răng ở Biên Hòa được nhiều khách hàng đánh giá cao nhờ áp dụng công nghệ hiện đại kết hợp cùng đội ngũ bác sĩ có tay nghề vững. Phòng khám hướng đến việc mang lại trải nghiệm điều trị nhẹ nhàng, an toàn, đặc biệt phù hợp với những người lo ngại cảm giác đau hay ê buốt khi lấy cao răng.
Tại Nha Khoa Đại Phát, dịch vụ cạo vôi răng được thực hiện bằng công nghệ sóng siêu âm tiên tiến. Máy siêu âm giúp làm lỏng các mảng bám và cao răng tích tụ lâu ngày trên răng, sau đó bác sĩ sẽ nhẹ nhàng loại bỏ chúng mà không cần dùng lực mạnh. Nhờ vậy, quá trình lấy cao răng diễn ra nhanh chóng, hạn chế tối đa tổn thương nướu và mang lại cảm giác dễ chịu cho khách hàng.

Ngoài hiệu quả làm sạch cao răng, dịch vụ tại Nha Khoa Đại Phát còn góp phần ngăn ngừa các bệnh lý răng miệng như viêm nướu, chảy máu chân răng, hôi miệng hay nha chu. Phòng khám cũng được đánh giá cao nhờ chi phí hợp lý, chính sách chăm sóc khách hàng chu đáo, giúp khách hàng yên tâm hơn khi lựa chọn cạo vôi răng ở Biên Hòa tại đây.
Thông tin liên hệ:
Nha Khoa Việt Ý là một trong những địa chỉ được nhiều khách hàng lựa chọn khi có nhu cầu cạo vôi răng ở Biên Hòa nhờ quy trình điều trị nhanh gọn, an toàn và hiệu quả. Dịch vụ cạo vôi răng tại đây được thực hiện nhẹ nhàng, giúp khách hàng thoải mái trong suốt quá trình điều trị mà không gây cảm giác đau hay ê buốt.
Phòng khám ứng dụng công nghệ cạo vôi răng bằng sóng siêu âm hiện đại, giúp loại bỏ triệt để mảng bám và cao răng bám trên bề mặt răng cũng như khu vực dưới nướu. Nhờ đó, hàm răng trở nên sạch hơn, sáng hơn và góp phần cải thiện sức khỏe răng miệng, hạn chế nguy cơ viêm nướu, hôi miệng và các bệnh lý nha chu.

Bên cạnh yếu tố công nghệ, Nha Khoa Việt Ý còn chú trọng đến tiêu chuẩn an toàn y tế. Toàn bộ dụng cụ nha khoa đều được khử khuẩn và vô trùng nghiêm ngặt trước khi sử dụng, đảm bảo an toàn cho khách hàng trong suốt quá trình cạo vôi răng và chăm sóc răng miệng định kỳ.
Thông tin liên hệ:
Nha Khoa Quốc tế DAISY là hệ thống nha khoa được nhiều khách hàng tin tưởng lựa chọn khi có nhu cầu chăm sóc và điều trị răng miệng tại Biên Hòa. Phòng khám hoạt động theo tiêu chuẩn nha khoa hiện đại, chú trọng đầu tư đồng bộ về đội ngũ bác sĩ, công nghệ điều trị và cơ sở vật chất nhằm mang đến trải nghiệm an toàn, nhẹ nhàng cho khách hàng.

Dịch vụ cạo vôi răng tại Nha Khoa Quốc tế DAISY được thực hiện bằng công nghệ sóng siêu âm tiên tiến, giúp loại bỏ hiệu quả mảng bám và cao răng trên bề mặt răng cũng như vùng dưới nướu. Quá trình lấy cao răng diễn ra nhanh chóng, hạn chế cảm giác đau hay ê buốt, đồng thời góp phần cải thiện tình trạng hôi miệng và ngăn ngừa các bệnh lý răng miệng thường gặp.
Bên cạnh hiệu quả điều trị, Nha Khoa Quốc tế DAISY còn đặc biệt chú trọng đến yếu tố an toàn y tế. Hệ thống vô trùng, khử khuẩn được thực hiện nghiêm ngặt theo tiêu chuẩn, giúp khách hàng yên tâm hơn khi lựa chọn cạo vôi răng và chăm sóc răng miệng định kỳ tại đây.
Thông tin liên hệ:
Nha Khoa ADORA Sài Gòn là một trong những địa chỉ cạo vôi răng ở Biên Hòa được nhiều khách hàng đánh giá cao về mức độ an toàn và chất lượng dịch vụ. Thành lập từ năm 2019, phòng khám hoạt động theo định hướng điều trị nha khoa hiện đại, chú trọng yếu tố chăm sóc toàn diện và trải nghiệm thoải mái cho khách hàng trong từng dịch vụ, bao gồm cả cạo vôi răng định kỳ.
Dịch vụ cạo vôi răng tại Nha Khoa ADORA Sài Gòn được thực hiện bởi đội ngũ bác sĩ tốt nghiệp Đại học Y Dược, có chuyên môn vững và nhiều năm kinh nghiệm lâm sàng. Phòng khám ứng dụng công nghệ cạo vôi răng bằng sóng siêu âm tiên tiến, giúp loại bỏ hiệu quả mảng bám và cao răng trên bề mặt răng cũng như vùng dưới nướu, hạn chế đau nhức, ê buốt và bảo vệ mô nướu tối đa.

Không chỉ chú trọng về kỹ thuật, Nha Khoa ADORA Sài Gòn còn đầu tư hệ thống trang thiết bị hiện đại và quy trình vô trùng khép kín. Mọi dụng cụ nha khoa đều được khử khuẩn nghiêm ngặt trước khi sử dụng, đảm bảo an toàn cho khách hàng. Với triết lý lấy khách hàng làm trung tâm, ADORA mang đến dịch vụ cạo vôi răng ở Biên Hòa không chỉ hiệu quả mà còn giúp khách hàng duy trì hàm răng sạch khỏe và nụ cười tự tin lâu dài.
Thông tin liên hệ:
Nha Khoa Hoàng Gia Biên Hòa là địa chỉ được nhiều khách hàng lựa chọn khi có nhu cầu cạo vôi răng ở Biên Hòa nhờ ứng dụng công nghệ hiện đại và quy trình điều trị an toàn. Phòng khám chú trọng mang đến trải nghiệm nhẹ nhàng, giúp khách hàng yên tâm hơn khi thực hiện các dịch vụ chăm sóc răng miệng định kỳ.
Dịch vụ cạo vôi răng tại Nha Khoa Hoàng Gia Biên Hòa được thực hiện bằng công nghệ sóng siêu âm tiên tiến, giúp tách bỏ mảng bám và cao răng bám trên bề mặt răng một cách hiệu quả. Phương pháp này hạn chế tối đa cảm giác đau nhức, ê buốt và không gây ảnh hưởng đến men răng hay các mô mềm xung quanh, phù hợp với nhiều đối tượng khách hàng.

Quá trình lấy cao răng diễn ra nhanh chóng, giúp tiết kiệm thời gian nhưng vẫn đảm bảo hiệu quả làm sạch cao. Sau khi cạo vôi, bề mặt răng trở nên sạch và nhẵn hơn, góp phần hạn chế tình trạng mảng bám và vụn thức ăn tái bám, từ đó hỗ trợ duy trì sức khỏe răng miệng ổn định lâu dài.
Thông tin liên hệ:
Để lựa chọn được địa chỉ cạo vôi răng ở Biên Hòa đảm bảo an toàn và mang lại hiệu quả lâu dài, khách hàng cần dựa trên nhiều yếu tố khác nhau. Dưới đây là những tiêu chí quan trọng giúp đánh giá và sàng lọc các phòng khám nha khoa chất lượng.
1. Đội ngũ bác sĩ có chuyên môn và kinh nghiệm
Một địa chỉ cạo vôi răng uy tín cần có bác sĩ được đào tạo bài bản, có chứng chỉ hành nghề và nhiều năm kinh nghiệm trong lĩnh vực nha khoa tổng quát. Bác sĩ tay nghề cao sẽ thao tác chính xác, nhẹ nhàng, giúp loại bỏ cao răng hiệu quả mà không làm tổn thương nướu hay men răng.
2. Ứng dụng công nghệ cạo vôi răng hiện đại
Công nghệ lấy cao răng bằng sóng siêu âm là tiêu chí quan trọng khi đánh giá chất lượng dịch vụ. Phương pháp này giúp làm sạch mảng bám cả ở thân răng và dưới nướu, hạn chế đau nhức, ê buốt và rút ngắn thời gian điều trị. Các địa chỉ cạo vôi răng ở Biên Hòa uy tín đều ưu tiên áp dụng công nghệ tiên tiến này.
3. Quy trình vô trùng, đảm bảo an toàn y tế
Một phòng khám đạt chuẩn cần tuân thủ nghiêm ngặt quy trình vô trùng, khử khuẩn dụng cụ trước và sau mỗi ca điều trị. Điều này giúp phòng tránh lây nhiễm chéo và đảm bảo an toàn tuyệt đối cho khách hàng trong suốt quá trình cạo vôi răng.

4. Cơ sở vật chất và trang thiết bị đầy đủ
Trang thiết bị nha khoa hiện đại, được đầu tư đồng bộ sẽ hỗ trợ bác sĩ thực hiện lấy cao răng chính xác và hiệu quả hơn. Không gian phòng khám sạch sẽ, thoáng mát cũng góp phần tạo cảm giác thoải mái cho khách hàng khi đến cạo vôi răng ở Biên Hòa.
5. Chi phí minh bạch, tư vấn rõ ràng
Địa chỉ nha khoa uy tín luôn công khai chi phí dịch vụ, tư vấn rõ ràng trước khi thực hiện và không phát sinh thêm các khoản ngoài dự kiến. Đây là yếu tố giúp khách hàng yên tâm hơn khi lựa chọn dịch vụ cạo vôi răng định kỳ.
6. Được khách hàng đánh giá tích cực
Những phòng khám nhận được nhiều phản hồi tốt từ khách hàng về chất lượng dịch vụ, thái độ phục vụ và hiệu quả sau điều trị thường là các địa chỉ đáng tin cậy. Đây cũng là cơ sở quan trọng để đánh giá mức độ uy tín của các địa chỉ cạo vôi răng ở Biên Hòa.
Trên đây là những gợi ý địa chỉ cạo vôi răng ở Biên Hòa uy tín, an toàn mà bạn có thể tham khảo và lựa chọn tùy theo nhu cầu cá nhân. Hy vọng bài viết sẽ giúp bạn dễ dàng tìm được phòng khám phù hợp để chăm sóc răng miệng định kỳ, góp phần duy trì hàm răng khỏe mạnh và nụ cười tự tin lâu dài.
BẠN ĐỌC: Sẽ nhận được ưu đãi tốt hơn khi nói "Biết đến thông tin qua DongNaiReview"
DOANH NGHIỆP: Đăng tải thông tin MIỄN PHÍ. Liên hệ để được hỗ trợ nhanh nhất
Được đánh giá cao về tính minh bạch tại Đồng Nai
Cộng đồng Reviewer đã khám phá và đánh giá hàng ngàn cơ sở dịch vụ, sản phẩm tại Đồng Nai với tiêu chí minh bạch, khách quan và độ chi tiết cao.
DongNaiReview áp dụng tiêu chuẩn thông tin minh bạch, trở thành cầu nối giúp hàng triệu người dùng chọn được dịch vụ và sản phẩm phù hợp nhất.
© Bản quyền 2025 DongNaiReview.vn | Chính Sách | Điều Khoản | Chính sách Quảng Cáo
Trở thành người đầu tiên bình luận cho bài viết này!